PMTCとは
毎日の自分で行う歯磨きで落ちない歯の汚れ(バイオフィルム)を歯医者の専用機器を用いて、
きれいにクリーニングすることです。
バイオフィルムとは・・・
歯のまわりには多種多様の細菌が住んでいて、雑菌にからみあってできた細菌の塊のことをバイオフィルムと言います。
バイオフィルムは、細菌が分泌するバリアに守られ、強力に付着するため、歯ブラシではなかなか取り除くことができません。
また、他の異物の侵入を拒否する性質があるため、薬剤や殺菌剤などの効果が発揮されなくなります。
身近なもので言いますと、台所の三角コーナーやお風呂場掃除のときのヌメヌメした水アカのような物と考えていただければよいでしょう。
バイオフィルムは水アカのように専用の器具や薬剤を使わなければなかなか除去できない汚れなのです。
バイオフィルムをはがし取る手段として最も能率的かつ効果的方法と考えられているのが、PMTCです。
97.7%の虫歯は予防できる!?その方法とは!?
歯科予防の父アクセルソン博士が30年間という長期にわたり、あるメンテナンスの仕方をした結果97.7%の確立で歯が守られ、 残すことができることが研究の結果からわかりました。
そのやり方とは、ただ単にメンテナンスをすればよいのではなく、PMTC(リスク部位を専用の器具を使用してのクリーニングすること)で歯が守られるのです。
そして、当院では、このメンテナンス方法を取り入れております。


生えてきたばかりの歯はみんなピカピカの新品ですが、時が経つにつれてそれぞれ違った道をたどっていきます。
しかし、私達は自分で働きかけて未来を変えることができるのです。
国際歯周内科学研究会監修発行物引用
PMTCの効果
毎日歯磨きしているのに、なぜ虫歯や歯周病になるのだろう?と思ったことはありませんか??
磨いているつもりでも磨き残しがあったりして・・・。
毎日の歯磨きにプラスして、定期的にPMTCを受けると、
虫歯や歯周病になる確率をぐっと抑えることができるのです。
歯と歯の間・歯肉と歯の境目・歯の細かい溝といった場所に付いた細菌の塊(バイオフィルム)は、
磨き残してしまうことが多いのです。PMTCによって徹底的に落とします。
治療ではなく、歯磨きの手伝いをしてほしい人
歯肉に腫れもなく、歯に痛みもないが、口の中をすっきりさせたい人。
矯正中の人
矯正装置の周りの汚れなどを取り除くのが難しいときなど歯磨きの手助けになります。
歯周病や虫歯の治療が終了している人
PMTCは歯石を取ることができないので治療で歯石を取り除いてあることが前提になります。
被せ物が入っている人
ブリッジなどは磨きにくい部分であるので、専門的なケアが必要となってきます。
※当院では初診時でご来院頂いた際には、現在の口腔内の状態・状況をしっかり把握し一番最適で最高な治療を提供させて頂く為に、レントゲン写真や歯周病の検査をさせて頂き、歯石を除去後に処置を行わせて頂いております。
治療の流れ
① 除去
炭酸カルシウムの粉を吹き付けてセルフケアでは取れないバイオフィルムを除去します。
② 洗浄
詰め物・被せ物・ブリッジ・インプラントの境目にバイオフィルムが付くと中に細菌が入ってしまい、
虫歯・歯周病・インプラント周囲炎になるリスクが高くなります。
専用のブラシを使用して、詰め物・被せ物・インプラントのまわりを洗浄します。
③ 修復
ハイドロキシアパタイトという歯と同じ成分のペーストを塗り込み表面をツルツルにし、
細菌が付きにくい歯の表面に修復します。
④ 強化
歯科医院でしか塗れない高濃度のフッ化物を塗布し簡単には虫歯にならない歯の質に強化します。
※フッ化物の浸透率を高めるため塗布後30分間はご飲食をお控えください。
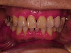
| PMTC前 | PMTC後 |
|---|---|
![]() |
![]() |
※歯がピンク色になっているところがバイオフィルムや細菌が付着していたところです。
| 特徴 | 歯磨きで落ちない歯の汚れ (バイオフィルム)を専用機器を用いてクリーニング。 |
|---|---|
| 期間 | 30~45分(1回で完了) |
| リスク | 一次的な知覚過敏 |
| 価格 | 6,600円(税込) (6~15歳のお子様は3,300円) |
当院ではPMTCのペーストにリナメルトリートメントペーストを使用しています。
「リナメルの3つの作用」
①歯垢の吸着除去
リナメルの粒子は小さく、優れた菌吸着力を持っています。歯面の歯垢(プラーク)や口の中の細菌を吸着、
除去しやすくし、お口の環境を整えます。
②歯面の微小欠損の充填>
歯の面のミクロの傷を修復し、表面を滑らかにして、歯垢(プラーク)や着色汚れの再付着をしにくくします。
歯の表面の傷に、リナメルのナノハイドロキシアパタイトという成分がエナメル質の一部として結晶化され
、
表面を滑らかにします。

③歯の表面ではなく歯の中から溶けていく(表層下脱灰層)再石灰化
粒子は、エナメル質表層下から溶け出したミネラルを補給し、
初期虫歯の部分を再石灰化(溶かされた歯の表面を修復する作用)が確認できます。
Q&A
① 痛みはありますか?
歯科専用の柔らかいゴムのカップや特殊なブラシを使用しての歯面清掃ですので、
痛みはありません。PMTCの特徴は、爽快感と快適の良さにあります。
② PMTCは何回かかりますか?
メインテナンスでのPMTCは1回で終了します。
1回の時間は約30分から45分を予定してください。
③ 定期的に行う必要性はありますか?
人によって歯や歯肉の強さ、細菌の状態、唾液の量、生活習慣、歯ブラシの程度により違いますが、
一般的には3~4ヵ月に1度の割合で行います。
PMTCがどんなに素晴らしいものであっても、
毎日の歯磨きの仕方や方法を怠ってしまえばプラークはすぐについてしまい、
虫歯や歯周病への効果が薄れてしまいます。
患者さん自身の毎日の歯磨き(ホームケア)と定期的なPMTCを一緒に行うことで、
健康な歯や歯肉の維持ができ、虫歯や歯周病を防ぐことが出来るのです。
④ どのような人が対象ですか?子どももできますか?
歯がある全ての方が対象です。6~15歳の方には専用の術式で施術していきます。
お子さんのPMTCについての詳細はこちらをご覧ください。
治療費
| 種類 | 金額 |
|---|---|
| PMTC | ¥6,600 |
| PMTC(6~15歳の方) ※1名様 |
¥3,300 |
| PMTC(6~15歳の方) ※ご兄弟姉妹お二人様 |
¥5,500 |
治療に伴うリスク
一次的に知覚過敏が起こることがあります。



